Metamorfozy


test ukr

Kategoria:

test

Kategoria:
PRZED
PO
PRZED
PO

Licówki, implanty i cyfrowy projekt - precyzyjna odbudowa przy braku zawiązków zębów

Pani Ania zgłosiła się do naszej kliniki z wrodzonym brakiem zawiązków siekaczy bocznych, który od lat wpływał na proporcje uśmiechu i pewność siebie. Po utracie dotychczasowej pracy tymczasowej podjęła decyzję o trwałej metamorfozie. Zastosowano leczenie implantologiczne, cyfrowy projekt uśmiechu (DSD), koronę na implancie, licówki, zabiegi periodontologiczne oraz odbudowy w pełni cyfrowym protokole. Efekt? Naturalny, harmonijny uśmiech, który wydobył jej urodę i realnie zmienił jakość życia.

PRZED
PO

Odbudowa estetyczna za pomocą koron, koron na implantach i licówek

Nasza Pacjentka marzyła o harmonijnym, jasnym uśmiechu – bez braków, asymetrii czy kompromisów estetycznych. Po zakończeniu leczenia ortodontycznego zdecydowała się na kompleksową metamorfozę: odbudowę brakujących zębów za pomocą koron na implantach, przeszczep dziąsła (FGG), wybielanie oraz bonding dolnych zębów techniką flow injection.

W trakcie leczenia korzystała także z fizjoterapii stomatologicznej, co pomogło zoptymalizować pracę stawów skroniowo-żuchwowych i mięśni żucia.

Efekt? Spójny, naturalny uśmiech, który nie tylko spełnił jej marzenie, ale też podkreślił rysy twarzy.

Regularne higienizacje i kontrole to klucz, który pozwoli utrzymać ten efekt na lata.

PRZED
PO
PRZED
PO

Odbudowy pełnołukowe na implantach w szczęce i żuchwie

Pan Krzysztof marzył o uśmiechu, który da mu pewność siebie i komfort życia – bez protez, bez kompromisów. Zakwalifikowano go do pełnołukowej odbudowy uśmiechu na implantach (All-on-6 / All-on-4), z natychmiastowym efektem estetycznym już tego samego dnia. Całość leczenia, od pierwszej wizyty po osadzenie ostatecznej pracy protetycznej, udało się zrealizować w zaledwie 4 miesiące. Efekt? Naturalny, trwały i piękny uśmiech, który wymaga teraz tylko jednej rzeczy – systematycznej higieny i kontroli, by cieszył przez długie lata.

PRZED
PO

Odbudowa estetyczna - na zębach własnych i implantach

Pacjentka zgłosiła się z rozległymi brakami zębowymi oraz nieszczelnymi, nieestetycznymi pracami protetycznymi, które nie spełniały już swojej funkcji. Zależało jej na kompleksowej poprawie wyglądu uśmiechu, ale także na przywróceniu prawidłowej funkcji żucia i komfortu.

Zaplanowano wieloetapowe leczenie implantoprotetyczne, koncentrujące się na odbudowie braków oraz stabilizacji zwarcia. W trakcie terapii wykonano korony na implantach, pełnoceramiczne korony na zębach własnych oraz licówki ceramiczne – wszystko po to, by uzyskać naturalny efekt i funkcjonalną równowagę na długie lata.

PRZED
PO

Metamorfoza uśmiechu Pacjenta – historia leczenia ortodontycznego (aparat stały samoligaturujący)

Nasz Pacjent przeszedł spektakularną metamorfozę uśmiechu dzięki leczeniu ortodontycznemu.
Po dokładnej diagnostyce i usunięciu ósemek założono aparat stały samoligaturujący, a dzięki wzorowej współpracy i dbałości o higienę uzyskaliśmy idealnie wyrównane łuki i prawidłowy zgryz.
Efekt jest aktualnie utrwalany podczas leczenia retencyjnego.

PRZED
PO
PRZED
PO

Technologia i troska – wspólna droga do zdrowego uśmiechu!

Jeszcze niedawno nasza pacjentka Pani Magdalena zmagała się z bezzębiem i ruchomymi protezami, które odbierały jej pewność siebie i komfort każdego dnia. Dzięki kompleksowemu leczeniu implantologicznemu i cyfrowej odbudowie protetycznej odzyskała nie tylko pełną funkcjonalność, ale przede wszystkim piękny, naturalny uśmiech. Dziś cieszy się nową jakością życia – bez kompromisów, bez ograniczeń, z uśmiechem pełnym blasku!

PRZED
PO
PRZED
PO

Uśmiech odzyskany – od kompleksowej terapii do naturalnego efektu!

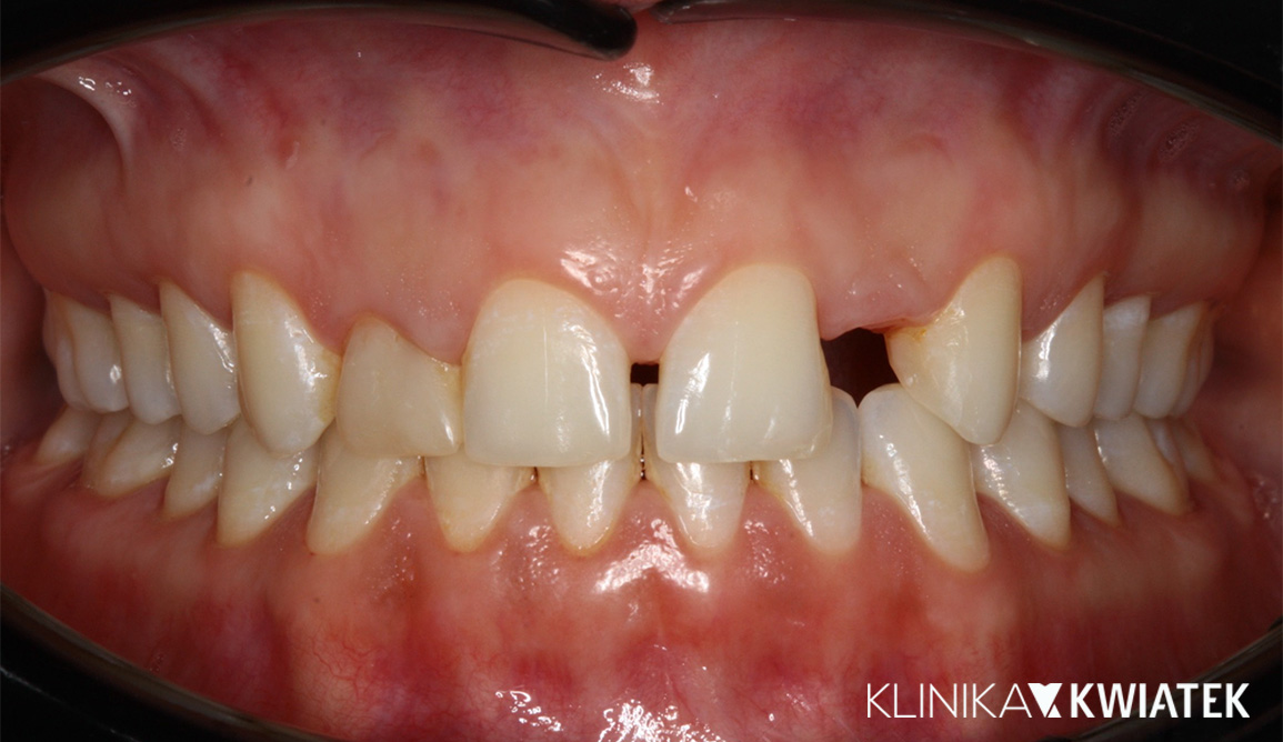
Do naszej kliniki zgłosiła się Pacjentka, która w przeszłości była już leczona ortodontycznie. Mimo wcześniejszego leczenia wciąż zmagała się z brakiem górnej dwójki oraz przesuniętą linią pośrodkową, co wpływało zarówno na estetykę uśmiechu, jak i na prawidłową funkcję zgryzu.
Postawiliśmy na kompleksowe podejście – połączyliśmy leczenie ortodontyczne, implantologiczne oraz protetyczne. Dzięki temu udało się uzyskać harmonijny, pełen blasku uśmiech oraz prawidłowe warunki zgryzowe.
Efekt końcowy? Naturalna estetyka, piękny uśmiech i komfort, który daje Pacjentce pełną satysfakcję.

PRZED
PO
PRZED
PO

Metamorfoza -od utraty zębów do pełnego, zdrowego uśmiechu!!

Do naszej kliniki zgłosiła się Pacjentka z powodu licznych braków zębowych, pękniętego mostu oraz zębów zniszczonych próchnicą. Po dokładnej diagnostyce wdrożono kompleksowe leczenie obejmujące ekstrakcje, implantacje i odbudowę protetyczną. Efektem jest piękny,naturalny, stabilny i estetyczny uśmiech, który przywrócił Pacjentce zdrowie i pewność siebie.

Masz pytania?
Chcesz umówić się na wizytę?
Zadzwoń do nas