Implantoprotetyka i Protetyka Poznań

Protetyka stomatologiczna

W dobie cyfryzacji, niemożliwe nie istnieje. Po szczegółowej diagnostyce, skanowaniu zgryzu i wykonaniu niezbędnych zdjęć, pacjent otrzymuje indywidualny, opracowany przez Zespół Kliniki Kwiatek, plan leczenia. Protokół Digital Smile Design (czyli cyfrowe projektowanie) w połączeniu z możliwościami nowoczesnej stomatologii, umożliwia precyzyjne zaplanowanie przyszłego uśmiechu. Każda wizualizacja, jak i gotowa praca protetyczna, jest niepowtarzalna - specyficzna dla danego pacjenta

Cyfrowe projektowanie uśmiechu z Digital Smile Design Poznań
Efekty pracy protetyka - zdjęcie przed i po zabiegu.

Mosty i korony porcelanowe

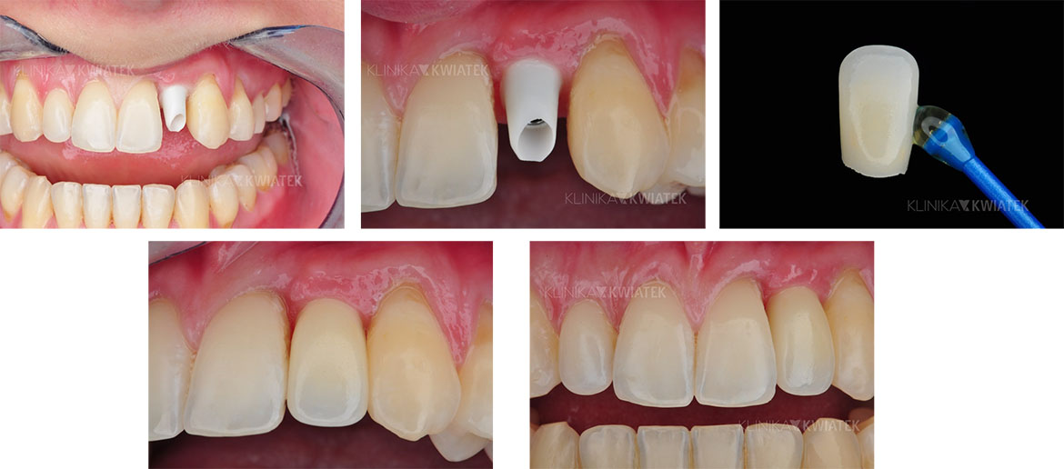
Konieczność wykonania korony protetycznej może zaistnieć w wyniku potrzeby zastąpienia utraconych zębów. Korony porcelanowe zaliczane są do uzupełnień protetycznych, które umożliwiają odbudowę estetyczną i funkcjonalną zębów pacjenta. Stosujemy je w momencie gdy ząb, na skutek zbyt dużego uszkodzenia tkanek twardych, nie nadaje się do odbudowy materiałem kompozytowym lub zależy nam na polepszeniu estetyki zębów. Kolor i kształt koron jest indywidualnie dobierany i dopasowywany dla każdego Pacjenta. 


Korony posiadają wiele zalet, dzięki którym są chętnie wybierane przez pacjentów, jako sposób na uzupełnienie braków zębowych w jamie ustnej. Wśród zalet można wymienić:

  • doskonały i długotrwały efekt estetyczny – korony protetycznej nie sposób odróżnić od naturalnego zęba
  • bezpieczeństwo użytkowania
  • wytrzymałość na zmiany temperatur
  • nie powodują objawów alergicznych
  • wysoka precyzja wykonania

Przygotowanie do osadzenia pracy polega na oszlifowaniu zęba tak, aby można było na niego „nałożyć” nową koronę. Na czas oczekiwania na wykonanie gotowej pracy protetycznej, zakładana jest tzw. korona tymczasowa, która ma za zadanie zabezpieczyć tkanki. Zabieg kończy się osadzeniem ostatecznej korony zapewniającej zębowi naturalny, estetyczny wygląd. 

Korony porcelanowe mają szeroki zakres zastosowania. Umożliwiają:

  • korektę kształtu zęba (wydłużenie, skrócenie, poszerzenie, zwężenie)
  • likwidację przebarwień (fluoroza, obumarcie zęba, przebarwienia, wady rozwojowe szkliwa)
  • zmianę ustawień zębów pacjenta
  • maskowanie niewielkich złamań, gdy trudno jest utrzymać tradycyjne wypełnienie
  • zamknięcie przerw między zębami (diastemy i tremy)

Korony pełnoceramiczne to rodzaj koron dentystycznych, które są w całości wykonane z ceramiki. Korony te składają się z jednolitej, ciągłej warstwy ceramiki, która jest dopasowana do kształtu i koloru zęba pacjenta.

Korony pełnoceramiczne i ich zalety:

  • Ceramika używana do produkcji koron pełnoceramicznych jest bardzo odporna na zużycie i wytrzymała, co oznacza, że ​​korony te są trwałe i mogą służyć przez wiele lat.
  • Mają doskonałą estetykę, można je łatwo dopasować do koloru zębów naturalnych pacjenta, co daje bardzo naturalny wygląd.
  • Są biokompatybilne, co oznacza, że ​​nie powodują alergii lub innych reakcji alergicznych u większości pacjentów.
  • Korony pełnoceramiczne są łatwe do utrzymania w czystości i higieniczne, ponieważ nie ma metalowej podbudowy, która może przyciągać biofilm bakteryjny, osad i kamień nazębny.
  • Korony pełnoceramiczne są wskazane w przypadkach, gdy pacjent ma alergię na metal lub chce uniknąć metalowej podbudowy korony.

Mosty porcelanowe to stałe uzupełnienia protetyczne, które służą do wypełniania luk po utraconych zębach. Warunkiem koniecznym do zastosowania mostu jest posiadanie przez pacjenta zdrowych zębów lub implantów, które ograniczają lukę po obu jej stronach. Mosty protetyczne składają się z filarów – służących do jego zakotwiczenia – oraz przęsła – zębów zastępczych wypełniających ubytek w jamie ustnej pacjenta. Wykonanie mostu poprzedza przygotowanie filarów, czyli zębów otaczających lukę. Ich rozmiar zostaje zredukowany, tak aby możliwe było osadzenie na nich przęsła.


Jak w przypadku koron, mosty porcelanowe wykonane są z materiałów umożliwiających ich pełne dopasowanie do odcienia naturalnych zębów. 


Zarówno korony jak i mosty są trwałe i mogą służyć człowiekowi przez całe życie. Aby jak najdłużej cieszyć się efektami protetyki stomatologicznej należy starannie dbać o higienę jamy ustnej – przynajmniej 2 razy dziennie szczotkować zęby z użyciem pasty z fluorem, stosować nici dentystyczne i płyny do płukania ust oraz regularnie zgłaszać się na zabiegi profesjonalnej higienizacji jamy ustnej.

zastosowanie koron protetycznych u pacjenta - zdjęcie przed i po zabiegu - Klinika Kwiatek Poznań
zęby przed i po skorzystaniu z usług protetyka z Kliniki Kwiatek w Poznaniu.

Licówki

Licówki są to cienkie płytki (do 1 mm grubości), które mocuje się na wcześniej przygotowanym zębie. Polega ono na delikatnym zeszlifowaniu wierzchniej warstwy szkliwa. W niektórych przypadkach licówki można nałożyć bez wstępnego szlifowania. Nie tylko poprawiają wygląd, ale również zwiększają poczucie własnej wartości. Umożliwiają zamaskowanie wszelkich defektów estetycznych zębów takich jak przebarwienia, nierówny koloryt zębów, widoczne wypełnienia czy też poprawę kształtu i powierzchni zęba a także likwidacji diastemy (szpary między zębami).


Zabieg założenia licówek jest prosty i bezbolesny. Przygotowanie zębów jest mało inwazyjne.  Dopasowanie ich do pozostałych zębów odbywa się indywidualnie, przy pełnej współpracy lekarz - technik. Obecne rozwiązania pozwalają na wyprodukowanie licówek tak cienkich, że ingerencja w naturalne tkanki zęba jest ograniczona do niezbędnego minimum.


Poprzez zastosowanie licówek możemy:

  • wydłużyć i powiększyć zęby
  • poprawić nieprawidłowe ustawienie
  • wybielić i usunąć silne przebarwienia
  • zatuszować uszkodzone szkliwo
  • odbudować rozległe ubytki przyszyjkowe
  • zamknąć diastemy i tremy
  • nadać wymarzony, zaprojektowany wcześniej kształt
Licówki umożliwiają łatwą korektę wad uzębienia.

Implantoprotetyka

Po pełnej integracji implantu z kością, przechodzimy do etapu protetycznego. W większości przypadków, wykonanie gotowej pracy odbywa się całkowicie cyfrowo. Klasyczny wycisk, zastąpiony jest skanowaniem okolicy implantu i sąsiednich zębów. Umożliwia to zminimalizowanie liczby potrzebnych wizyt, a gotowa praca protetyczna charakteryzuje się doskonałą estetyką i spasowaniem.

Nowoczesne leczenie stomatologiczne, w tym oparte o implanty pozwala na odejście od stosowania przestarzałych rozwiązań, takich jak: protezy całkowite, protezy częściowe (w tym protezy szkieletowe). Rozwiązania te są sukcesywnie wypierane z powodu wielu mankamentów niekorzystnie wpływających na warunki w jamie ustnej i wygląd pacjenta.

Korony i mosty na implantach

W sytuacji braku jednego lub kilku zębów, implanty wraz z koroną to aktualnie najlepsze możliwe rozwiązanie. W przeciwieństwie do klasycznych koron i mostów, nie wymagają ingerencji w naturalne, zdrowe zęby sąsiednie. Każdy z uzupełnionych punktów funkcjonuje oddzielnie, co znacznie ułatwia utrzymanie właściwej higieny w jamie ustnej.


W zależności od warunków, korony i mosty mogą być mocowane do implantów, za pomocą łącznika standardowego lub indywidualnego. Łącznik indywidualny produkowany jest na potrzeby konkretnego pacjenta. Stanowi doskonałe podparcie dla tkanek otaczających implant, zapewniając idealną estetykę. Dedykowany w sytuacjach, gdzie zależy nam na jak najlepszym odwzorowaniu natury.

Korona mocowana do implantu za pomocą indywidualnego łącznika - Wykonanie Klinika Kwiatek Poznań - Protetyka

Prace protetyczne oparte na implantach przy całkowitym bezzębiu

Jest to pełne uzupełnienie protetyczne, most złożony z 10 lub 12 koron opartych na 4 lub 6 implantach („all on 4”, „all on 6”). Praca jest osadzona na stałe.
Zamocowana do implantów za pomocą systemu multiunitów. Pozwala na odtworzenie pełnej estetyki i funkcji zgryzu, by na stałe pożegnać się z ruchomą protezą. Na czas gojenia, pacjent użytkuje pracę tymczasową.

Uzupełnienie protetyczne przy całkowitym braku uzębienia - 6 implantów, łączniki Multi Unit i 12 koron protetycznych. Wykonanie Klinika Kwiatek Poznań

Protezy na implantach (overdenture)

Protezy zębowe na implantach eliminują dyskomfort związany z użytkowaniem tradycyjnych protez (ruchomość, otarcia śluzówki). Oparte na 2 lub 4 implantach umożliwiają stabilizację nieporównywalną do klasycznego uzupełnienia ruchomego.


Utrzymanie zapewniają specjalne, kompatybilne z implantem matryce. Możliwość samodzielnego zakładania i zdejmowania, zapewnia idealne utrzymanie higieny.

Całkowita przebudowa zgryzu z poprawą estetyki uśmiechu

W przypadku skomplikowanych rekonstrukcji - gdy braki zębowe są rozległe - kluczową rolę odgrywa planowanie i sprawna praca całego Zespołu. Klinika Kwiatek z Poznania skupia ponad 20 specjalistów z różnych dziedzin, którzy stale podnoszą swoje kwalifikacje. Pacjent może czuć się zaopiekowany od A do Z przez Zespół, co w połączeniu z najnowocześniejszą technologią przekłada się na doskonałe i przewidywalne efekty.

Pacjenci przed i po wykonaniu całkowitej przebudowy zgryzu wraz z poprawą estetyki uśmiechu - Klinika Kwiatek Poznań

Lekarze protetycy

Poznaj kadrę specjalistów, którzy zadbają o Twój piękny uśmiech.

Tak mówią o nas Pacjenci

Protetyka - Cennik usług

Protetyka

Konsultacja protetyczna 300 zł

Przed podjęciem leczenia protetycznego, lekarz analizuje zdjęcia RTG oraz modele diagnostyczne i dokonuje komputerowej analizy uśmiechu. Dzięki temu może wykonać projekt DSD (Digital Smile Design), który pokazuje finalny efekt leczenia jeszcze przed jego rozpoczęciem.

Korona pełnoceramiczna 2 800 zł

Pełnocermiczna korona najwyższej jakości - cementowana na wcześniej przygotowany ząb. Stanowi wzmocnienie jego struktury, a dzięki cyfrowemu projektowi zapewnia „filmową” estetykę.

Licówka ceramiczna 3 000 zł

Na minimalnie opracowany ząb nakłada się ultracienkie, porcelanowe „płatki”. Dzięki temu, uzyskujemy doskonały efekt estetyczny przy nieznacznej (dochodzącej do 0,5 mm) ingerencji w tkankę Pacjenta.

ONLAY, INLAY, OVERLAY 2 500 zł

Deprogramator Koisa 720 zł

Masz pytania?
Chcesz umówić się na wizytę?
Zadzwoń do nas