Periodontologia to dziedzina stomatologii, która zajmuje się leczeniem chorób przyzębia. Obejmuje szerokie spektrum leczenia tkanek otaczających ząb, takich jak dziąsło, więzadła ozębnej, kość wyrostka zębodołowego, czy cement korzeniowy.
Jednym słowem są to wszystkie tkanki jamy ustnej, które są odpowiedzialne za utrzymanie zęba w zębodole. Do grupy najczęściej spotykanych schorzeń chorób przyzębia zalicza się tzw. parodontoza, która nieleczona może doprowadzić do utraty zębów.
Periodontolog to lekarz zajmujący się leczeniem chorób przyzębia oraz błon śluzowych jamy ustnej. Do zadań periodontologa należy profilaktyka oraz działania w diagnozowaniu chorób przyzębia, oraz ochrona przed negatywnymi powikłaniami tych chorób dla całego organizmu pacjenta.
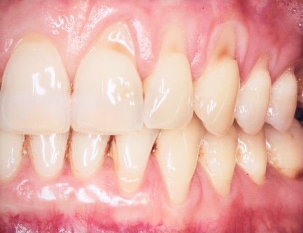
Najczęściej spotykanymi chorobami przyzębia są zapalenie dziąseł (z ang. gingivitis) oraz zapalenie przyzębia (z ang. periodontitis). W przypadku zapalenia dziąseł choroba ograniczona jest do samych dziąseł i objawia się występującym krwawieniem i opuchnięciem dziąseł.
Zapalenie przyzębia dotyczy natomiast wszystkich tkanek w jamie ustnej, od dziąseł po kości wyrostka zębodołowego. W przypadku tej choroby dochodzi do znacznego zaniku tkanek, co powoduje ruchomość zębów, a nawet ich rozchwianie, które w konsekwencji może doprowadzić do utraty zębów.
W przypadku chorób przyzębia głównym czynnikiem chorobotwórczym jest znaczna ilość bakterii wywołujących niekorzystny wpływ na błony śluzowe, powodując stan zapalny.
Brak odpowiedniej higieny jamy ustnej, nieprawidłowe szczotkowanie zębów, palenie papierosów, powodują obecność kamienia nazębnego, a także złogów poddziąsłowych. To właśnie te czynniki najczęściej odpowiedzialne są początki zapalenia przyzębia oraz powstawanie zmian patologicznych na błonie śluzowej jamy ustnej.
Istnieje również szereg innych czynników odpowiedzialnych za stan przyzębia, które powinny być wychwycone w gabinecie stomatologicznym, gdzie specjalista periodontolog przeprowadza wnikliwy wywiad na temat ogólnego stanu zdrowia pacjentów.
Wśród najważniejszych przyczyn chorób przyzębia wyróżniamy:
Do najczęstszych objawów chorób przyzębia należą:

Leczenie prowadzone przez lekarza periodontologa zazwyczaj zlecone jest przez innego dentystę. Wynika to z faktu, iż spora ilość pacjentów nie zdaje sobie sprawy, z czym powiązać istniejący problem i jakiego wymaga leczenia.
Pacjenci kierowani są na konsultacje periodontologiczne, gdzie brany jest pod uwagę ogólny stan zdrowia, występowanie chorób ogólnoustrojowych oraz wykonywane są niezbędne badania radiologiczne.
Podczas takiej wizyty lekarz przy użyciu specjalnej sondy bada głębokości kieszonek dziąsłowych, ocenia stan zapalny w badanych tkankach i na podstawie stopnia zaawansowania choroby przyzębia planuje leczenie oraz dobiera niezbędne środki higieniczne dla pacjenta.
Na kolejnych wizytach wdrażane jest leczenie przede wszystkim w oparciu o zabiegi higieniczne, których celem jest usuwanie złogów płytki nazębnej. Stosuje się tu dwa rodzaje zabiegów:
Zabiegom tym, w razie konieczności towarzyszy również polerowanie powierzchni zębów oraz ich korzeni, w celu uniemożliwienia narastania płytki bakteryjnej oraz innych złogów odpowiedzialnych za stan zapalny. Stosowane są specjalne preparaty fluorkowe, a także w niektórych przypadkach leczenie farmakologiczne.
Jest to leczenie podtrzymujące, niestety nie gwarantuje sukcesu leczenia. Polega na połączeniu kilku rozchwianych zębów systemem zespalającym z kompozytu lub włókna szklanego, który zakłada się na językowej lub podniebiennej powierzchni zębów, tak aby był niewidoczny podczas uśmiechania się czy mówienia. Stosowany najczęściej w przypadku zaawansowanej parodontozy.
Warto podkreślić, iż zanim pacjent trafi na zabieg periodontologiczny, niezbędną czynnością jest wykonanie profesjonalnej higienizacji przez higienistkę stomatologiczną.
Kluczowym składnikiem leczenia periodontologicznego są regularne wizyty na higienizacji, gdzie pacjenci nie tylko otrzymują fachowy instruktaż higieny jamy ustnej, ale również są edukowani, w jaki sposób zachować zdrowe tkanki przyzębia.

Podstawowym warunkiem skutecznej profilaktyki jest utrzymywanie oraz dbanie o prawidłową higienę jamy ustnej i regularne wizyty kontrolne u stomatologa. Ryzyko powstawania chorób periodontologicznych znacząco można zniwelować poprzez:
Ignorowanie wszystkich objawów chorobowych oraz niestosowanie się do zaleceń higienicznych może doprowadzić nie tylko do rozwoju stanu zapalnego, ale też w konsekwencji do utraty zębów.
Dlatego warto pamiętać! Tylko regularne wizyty u stomatologa i higienistki stomatologicznej uchronią Cię przed poważnymi chorobami przyzębia i zapewnią zdrowy uśmiech!