Stomatologia estetyczna to dziedzina stomatologii, która koncentruje się na wizualnej poprawie estetyki zębów. Dziedzina ta łączy w sobie szereg zabiegów z zakresu leczenia zachowawczego, protetycznego, leczenia ortodontycznego oraz zabiegów higienizacji. Wszystko po to, aby uzyskać zdrowe zęby - a przy tym - piękny uśmiech!
Stomatologia estetyczna głównie koncentruje się na likwidowaniu niedoskonałości, zapewniając poprawę wyglądu zębów, stąd nazywana jest stomatologią estetyczną. Dziedzina ta przede wszystkim skupia się zabiegach, które pozwalają wyrównać powierzchnię zębów, dokonać poprawy w kondycji zębów: skorygować kształt zębów, dokonać korekty barwy zębów i ogólnie zapewnić im estetyczny wygląd. Dodatkowo w ramach stomatologii estetycznej eliminuje się stany zapalne dziąseł przy odbudowie braków uzębienia. Estetyczna stomatologia (stomatologiczne leczenie estetyczne) skupia się na tym, aby zapewnić zdrowie w jamie ustnej pacjenta i piękny uśmiech.
Do zabiegów z zakresu stomatologii estetycznej, które najczęściej wykonywane są w gabinecie stomatologicznym, zaliczyć można:
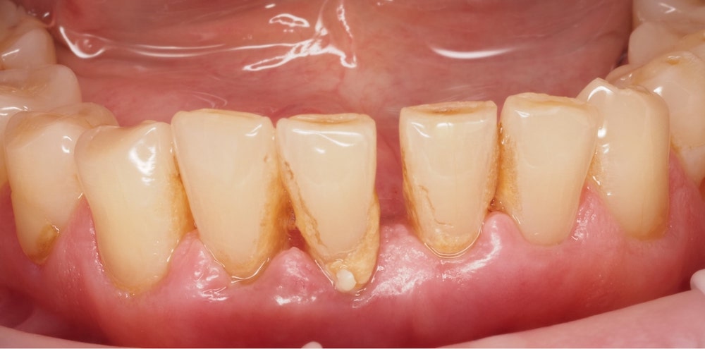
Niezbędną czynnością, jaką musi wykonać pacjent przed przystąpieniem do zabiegów stomatologii estetycznej, jest pozbycie się kamienia nazębnego. Usuwanie kamienia nazębnego wpływa nie tylko na estetykę, ale także i na zdrowie zębów. Nagromadzony kamień nazębny w okolicy dziąseł może powodować powstawanie stanów zapalnych, co jest bezwzględnym przeciwwskazaniem do poddania się zabiegowi wybielania i prowadzi do powstania choroby przyzębia, rozchwiania zębów, tzw. paradontozy i utraty uzębieniaDodatkowo, nagromadzone osady kamienia nazębnego szczelnie pokrywają powierzchnię zębów, ograniczając tym skuteczność działania metody wybielającej.

W usuwaniu kamienia nazębnego ogromną rolę odgrywa higienistka stomatologiczna. To właśnie ona podczas wykonywania higienizacji pozbywa się wszelkich osadów oraz złogów kamienia nazębnego, których normalnie w warunkach domowych Pacjent nie jest w stanie usunąć.
Higienistka stomatologiczna wykonuje usuwanie kamienia nazębnego za pomocą ultradźwięków - tzw. skalerem. Piaskowanie zębów ma natomiast na celu usunięcie przebarwień oraz przetrwałych osadów, a także częściowo kamienia nazębnego.
Jednym z najczęściej stosowanych zabiegów z zakresu stomatologii estetycznej jest korekta kształtu zębów. Zakres stomatologii estetycznej oferuje cyfrowe projektowanie uśmiechu - wax-up i jego "przymiarkę" tzw. mock-up, dzięki któremu Pacjent może zobaczyć swoje nowe, piękne zęby jeszcze przed podjęciem decyzji. Cyfrowe projektowanie z wykorzystaniem technik projektowania CAD/CAM pozwala dobierać najlepsze rezultaty, które spełnią oczekiwania nawet najbardziej wymagających Pacjentów. Dzięki stomatologii estetycznej wykorzystującej najnowocześniejsze technologie, Pacjent zyskuje piękny uśmiech i pewność siebie.

Zmiany kształtu zębów często dokonuje się przez założenie licówek wykonanych z materiału ceramicznego. Są to specjalnie zaprojektowane cienkie płatki, które znacząco poprawiają wygląd zęba, a przy tym nie ingerują w tkanki zęba lub jest to minimalne, w przeciwieństwie do klasycznego szlifowania zębów. Zakładanie licówek jest doskonałym rozwiązaniem dla Pacjentów, których zęby są delikatnie starte, ich struktura jest nierównomiernie gładka, czy też wymagana jest korekta kształtu.


Bardziej ekonomiczną alternatywą jest możliwość założenia licówek kompozytowych, które wykonane są z mniej twardego materiału. Materiał kompozytowy, o którym mowa, dobrze sprawdza się w przypadku poprawy estetyki (wpływa na zmianę kształtu zębów) jest wykorzystywany również w przypadku tradycyjnych wypełnień (tzw. plomb).
Warto tutaj wspomnieć o bondingu, który w ostatnim czasie stał się bardzo popularny wśród zabiegów wykorzystywanych w stomatologii estetycznej. To właśnie materiałem kompozytowym poprawia się wygląd zębów bez większego naruszania ich szkliwa. Zabieg głównie polega na tym, że dentysta nakłada kolejno warstwy kompozytu, modelując nie tylko kształt, ale też przejścia kolorystyczne uzyskując przy tym bardzo naturalny efekt.
Nasuwa się pytanie: ile czasu trwa taki zabieg? Tak naprawdę jest uzależniony od ilości zębów, które wymagają korekty, umiejętności oraz doświadczenia lekarza. Dużym plusem jest to, że już w trakcie jednej wizyty (podczas jednego zabiegu bondingu) dochodzi do wyraźnej zmiany wyglądu zębów, przez co Pacjent szybko odzyskuje estetykę swojego uśmiechu.
Pacjenci decydujący się na tego typu odbudowy muszą mieć na uwadze konieczność okresowego zgłaszania się na polerowanie zębów pokrytych materiałem kompozytowym. Materiał w wyniku ścierania się lub pokrywania osadem może zmieniać kolor, dlatego aby cieszyć się pięknym uśmiechem, bardzo ważne są regularne higienizacje, podczas których wykonuje się piaskowanie zębów (celem usunięcia osadów), a następnie, zgodnie ze wskazaniami lekarza - poddaje ponownemu polerowaniu.
Korona protetyczna doskonale sprawdza się w przypadku większej odbudowy zęba - na przykład zębów uszkodzonych w wyniku urazów mechanicznych. Korona protetyczna jest uzupełnieniem mocowanym do odpowiednio oszlifowanego zęba, które kształtem i kolorem naśladuje naturalny ząb. Z kolei most protetyczny doskonale sprawdzi się w przypadku odbudowy braku zęba. Jego mocowanie opiera się na zębach filarowych, a tzw. przęsło mostu odbudowuje utracony ząb. Zarówno korony, licówki, jak i mosty protetyczne mocowane są na stałe, doskonale niwelują większe ubytki zębów, braki zębowe, a co najważniejsze korzystnie wpływają na wygląd zębów.
Warto pamiętać, że przed założeniem licówek czy koron należy wyleczyć zęby, a także poddać się usuwaniu kamienia nazębnego. Niezależnie, czy są to licówki porcelanowe, licówki kompozytowe, korony czy bonding - schemat wykonywanych procedur jest taki sam.

Kolejnym z często stosowanych zabiegów z dziedziny stomatologii estetycznej jest wybielanie zębów. Zabieg wybielania zębów polega na chemicznym usuwaniu przebarwień, poprzez zastosowanie nadtlenku wodoru na powierzchni zębów, a następnie penetracji w głąb przebarwionej zębiny.
Wyróżniamy wybielanie zębów gabinetowe oraz tak zwane nakładkowe wybielanie zębów - wybielanie przypominające, a także wybielanie będące kompilacją tych dwóch metod. W każdym z tych przypadków zabieg wybielania zębów poprzedzony jest wnikliwym wywiadem medycznym dot. stanu zdrowia, przyjmowania leków czy przebytych chorób.
Konieczne jest zbadanie stanu zdrowia jamy ustnej, rozpoznanie przyczyn powstawania przebarwień oraz zarekomendowanie odpowiedniej metody wybielania zębów dla pacjenta. Niezbędne przed wybielaniem jest wyleczenie wszystkich stanów zapalnych dziąseł, ognisk próchnicowych oraz usunięcie wszystkich ubytków w zębach.
Wybielanie zębów przeprowadzane jest w gabinecie stomatologicznym pod okiem doświadczonej higienistki, dzięki czemu jest to zabieg w pełni bezpieczny dla zębów oraz samego Pacjenta.
Na początku zabezpieczane są tkanki miękkie, czyli dziąsła oraz brodawki międzyzębowe. Następną czynnością jest nałożenie na zęby specjalnego preparatu - nadtlenku wodoru, który w czterech 15-minutowych cyklach zostaje ogrzany i aktywowany specjalną lampą. Wykorzystanie lampy umożliwia wnikanie preparatu w głąb tkanek zęba, a zachodzący proces chemiczny powoduje rozjaśnienie zębów nawet o kilka tonów, już podczas jednej wizyty.
Na zakończenie Pacjent otrzymuje łagodzący żel, który pomaga chronić szkliwo i zmniejsza nadwrażliwość.

Wybielanie nakładkowe wzmacnia i utrwala efekt wybielania gabinetowego. Na wizycie pobrane zostają wyciski lub skan wewnątrzustny, na bazie których wykonane zostaną idealnie pasujące nakładki dla Pacjenta. Wraz z nimi otrzymuje on żel wybielający oraz zostaje poinstruowany, jak z niego korzystać samodzielnie w domu. W praktyce zaleca się, aby nakładek używać na noc przez okres 6 - 12 dni po zabiegu wybielania zębów.
W trakcie ich noszenia oraz przez okres następnych dwóch tygodni należy przestrzegać tzw. białej diety, czyli zrezygnować z napojów i pokarmów zawierających barwniki (kawa, herbata, czerwone wino) oraz palenia papierosów. Dzięki temu pacjent dłużej może zachować śnieżnobiałe zęby i cieszyć się z pięknego uśmiechu. Warto zaznaczyć, że poprawa estetyki uśmiechu korzystnie wpływa na dobre samopoczucie i pewność siebie, co potwierdzają pacjenci, którzy poddali się zabiegom z zakresu stomatologii estetycznej.
Przeciwwskazania do zabiegu wybielania zębów to:
Decydując się na zabiegi z zakresu stomatologii estetycznej, warto uzbroić się w cierpliwość, ponieważ część zabiegów, dla uwidocznienia efektów, wymaga czasu. Warto jednak zdobyć się na wytrwałość, by poprawić nie tylko estetykę w obrębie jamy ustnej ale przede wszystkim zdobyć większą pewność siebie, a przy tym lepsze samopoczucie!