Współczesna stomatologia rozwija się niezwykle dynamicznie, oferując Pacjentom coraz bardziej zaawansowane metody dbania o zdrowie jamy ustnej. Jedną z najnowszych i najbardziej innowacyjnych technik jest protokół higienizacji Guided Biofilm Therapy (GBT), który zyskuje coraz większe uznanie zarówno wśród stomatologów, jak i Pacjentów. Czym różni się od konwencjonalnych metod takich jak skaling i piaskowanie? Jakie korzyści niesie dla osób posiadających implanty i prace protetyczne? Odpowiedzi na te pytania znajdziesz w poniższym artykule!
Guided Biofilm Therapy to kompleksowy protokół higienizacji opracowany przez firmę EMS Dental (Szwajcaria). Składa się z ośmiu starannie zaplanowanych kroków dostosowywanych przez higienistkę do sytuacji klinicznej, które mają na celu całkowite usuwanie biofilmu – bakteryjnej płytki nazębnej.
Biofilm zębowy jest główną przyczyną wielu problemów zdrowotnych - chorób jamy ustnej, chorób przyzębia, zapalenia dziąseł, zapalenia tkanek okołowszczepowych itp. Prawidłowa higiena jamy ustnej w połączeniu z profesjonalną i regularną opieką dentystyczną, pozwala utrzymywać biofilm zębowy pod kontrolą.
Terapia GBT zawiera również instruktaż higieny jamy ustnej z wykorzystaniem szczoteczek do zębów, w tym elektrycznych i irygatorów oraz edukację Pacjenta, w celu jak najdłuższego utrzymania naturalnych zębów i implantów.
Proces GBT w Klinika Kwiatek obejmuje protokoły oparte o indywidualną diagnozę stanu jamy ustnej. Leczenie jest niezwykle precyzyjne i minimalnie inwazyjne, co sprawia, że jest idealnym rozwiązaniem dla każdego Pacjenta.

GBT wyróżnia się niezwykłą precyzją w usuwaniu biofilmu.
Tradycyjny skaling i piaskowanie często nie są w stanie dotrzeć do wszystkich zakamarków jamy ustnej, takich jak kieszonki dziąsłowe, tkanki miękkie jamy ustnej czy powierzchnie wokół implantów. Dzięki uwidocznieniu płytki bakteryjnej oraz technologii Airflow® i Perioflow®, GBT skutecznie eliminuje biofilm z trudno dostępnych miejsc, których konwencjonalne metody mogą nie doczyścić. Ma to ogromne znaczenie w utrzymaniu zdrowia jamy ustnej i zapobieganiu chorobom przyzębia, tkanek wokół implantów i uzupełnień. protetycznych.



Minimalna inwazyjność
Protokół GBT w klasycznej sytuacji klinicznej rozpoczyna się od wybarwienia, a następnie usunięcia biofilmu i osadu przy użyciu końcówki Airflow oraz specjalnych, ultradelikatnych piasków o konsystencji (i smaku!) cukru pudru. Jest on bezpieczny dla diabetyków - ma niski indeks glikemiczny, a jego łagodna struktura pozwala na oczyszczanie szkliwa, odsłoniętych szyjek, a także tkanek miękkich jak np. język.

Protokół GBT jest mniej inwazyjny niż tradycyjne metody. Skaling mechaniczny może prowadzić do mikrouszkodzeń szkliwa i dziąseł, co zwiększa ryzyko powstawania stanów zapalnych, próchnicy i pogarsza estetykę. Wykorzystanie ultradźwięków Piezon® w GBT pozwala na delikatne usunięcie kamienia nazębnego bez ryzyka uszkodzenia tkanek miękkich i twardych. Specjalnie zaprojektowane końcówki (tzw. tipy) pracują w technologii no-pain zwiększając moc ultradźwięków wyłącznie tam, gdzie wyczuwalna jest chropowatość (kamień nazębny). Końcówki perio-slim (PS) i perio-implant (PI) pozwalają oczyszczać miejsca niedostępne dla konwencjonalnie skonstruowanych skalerów.
GBT jest znacznie bardziej komfortowe dla Pacjentów. Tradycyjny skaling i piaskowanie mogą być nieprzyjemne, a wręcz bolesne, szczególnie dla osób z wrażliwymi zębami. Dzięki zastosowaniu ciepłej wody i proszku na bazie erytrytolu w technologii Airflow®, zabieg jest przyjemny i zdecydowanie mniej stresujący.
Implanty stomatologiczne wymagają szczególnej troski, aby zapobiegać stanom zapalnym i periimplantitis. GBTnie uszkadza powierzchni tytanowych implantów czy łączników, a jednocześnie dokładnie oczyszcza zalegający przy nich biofilm bakteryjny, co jest najważniejsze dla ich długowieczności i zdrowia tkanek otaczających.
Konwencjonalne metody nie zapewniają narzędzi i technologii, która umożliwia tak dokładne oczyszczanie tkanek wokół implantów, a obecność bakterii w okolicy wszczepów to najważniejsza przyczyna dezintegracji i utraty implantów. Stany zapalne w tych miejscach postepują szybciej, poniewaz okolica implantu nie ma włókien obecnych przy zębie własnym - bogatych w naczynia krwionośne i substancje odżywcze zwiększające odpowiedź immunologiczną.

Ceramiczne korony i mosty są narażone na uszkodzenia podczas agresywnych metod higienizacji. GBT niweluje ryzyko zarysowań i uszkodzeń powierzchni ceramicznych, co pozwala na dłuższe zachowanie ich estetyki i funkcjonalności.
Gwarancja na implanty i prace protetyczne?Tak, ale pod warunkiem higienizacji w naszej Klinice!
W #KliniceKwiatek stawiamy na najwyższą jakość usług i długotrwałą satysfakcję Pacjentów. Dlatego udzielamy gwarancji na implanty i prace protetyczne, jednakże tylko pod warunkiem regularnej higienizacji wykonywanej u nas, przez wykwalifikowane higienistki i zgodnie z protokołem GBT.
Kontrola jakości
Regularna i profesjonalna higienizacja w naszej Klinice pozwala nam na bieżąco monitorować stan implantów i prac protetycznych. Dzięki temu możemy szybko reagować na wszelkie nieprawidłowości i wdrożyć odpowiednie środki zapobiegawcze. Przede wszystkim na bieżąco korygować niedoskonałości higieny domowej, gdyż jest to najważniejsza odsłona dbałości o zęby własne i prace protetyczne, w tym na implantach.
Profesjonalne podejście
Nasze higienistki są specjalistkami w swojej dziedzinie i posiadają odpowiednie przeszkolenie w zakresie stosowania protokołu GBT oraz pracują w powiększeniu (lupy, mikroskop). Zapewnia to najwyższą jakość higienizacji, która jest niezbędna do utrzymania zdrowia jamy ustnej i długowieczności implantów oraz prac protetycznych. A przy tym, jak twierdzą nasi Pacjenci - jest po prostu przyjemnie!
Zastosowanie najnowszych technologii
W naszej Klinice korzystamy z najnowocześniejszych technologii, takich jak Airflow®, Perioflow® i Piezon®. Dzięki temu możemy zapewnić naszym Pacjentom najbardziej efektywne i bezpieczne metody higienizacji, które minimalizują ryzyko uszkodzeń i stanów zapalnych.

Indywidualne podejście do Pacjenta
Każdy Pacjent jest dla nas wyjątkowy, dlatego dostosowujemy plan higienizacji do jego indywidualnych potrzeb. Regularne wizyty w naszej Klinice pozwalają na optymalne dostosowanie zabiegów do stanu zdrowia jamy ustnej Pacjenta i dobranie produktów do warunków w jamie ustnej.
Zapewnienie długotrwałej satysfakcji
Chcemy, aby nasi Pacjenci cieszyli się zdrowym uśmiechem przez długie lata. Gwarancja na implanty i prace protetyczne pod warunkiem higienizacji w naszej Klinice to nasz sposób na zapewnienie, że inwestycja w zdrowie jamy ustnej przyniesie oczekiwane rezultaty, a w razie jakichkolwiek nieprawidłowości - trzymamy rękę na pulsie!
Diagnoza przedzabiegowa oparta o zdjęcie pantomograficzne zlecone przez stomatologa ujawniła dużą ilość kamienia poddziąsłowego - prawdopodobnie nigdy wcześniej nieusuwanego.
Ścisła współpraca z Lekarzami, weryfikacja RTG oraz technologia, w tym narzędzia do skalingu poddziąsłowego pozwoliły na zaplanowanie i wykonanie higienizacji na najwyższym poziomie i usunięcie złogów będących u Pacjentów przyczyną paradontozy.

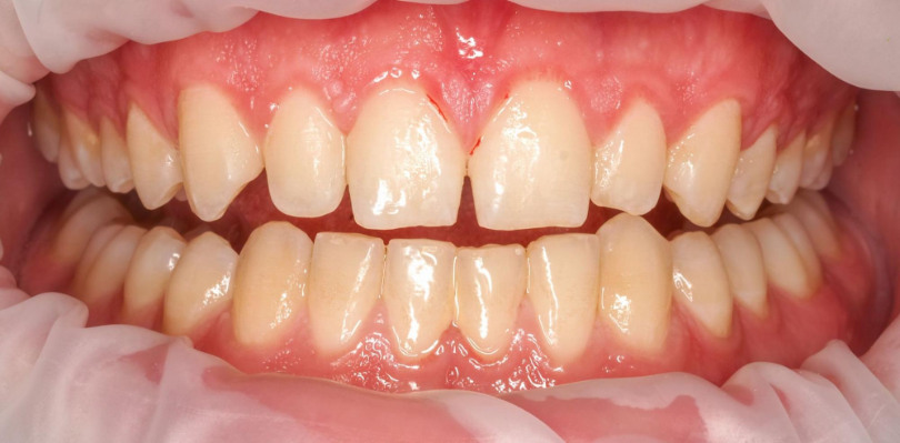
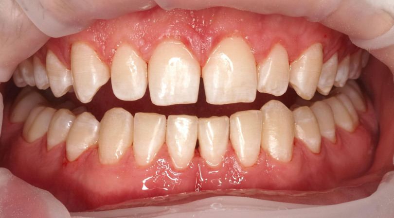
Pacjent zgłaszał się na regularne, co półroczne higienizacje. Wybarwienie płytki nazębnej na pierwszej wizycie ujawniło silne zaleganie płytki nazębnej dojrzałej, kwasowej, gęsto otaczającej zęby (kolor fioletowy). Z każdą kolejną wizytą widać było poprawę higieny i sukces działań higienistki stomatologicznej oraz motywacji własnej Pacjenta. Na trzeciej wizycie po wybarwieniu dostrzegalny jest już tylko delikatny, świeży biofilm. Dzięki technologii GBT posiadamy narzędzia do monitorowania higieny Pacjenta i pozytywnego wzmacniania jego dobrych nawyków.

Pacjent posiada koronę na implancie, która wykorzystywana jest w leczeniu ortodontycznym. W ocenie wizualnej nic nie wskazywało na problem higieniczny. Widoczna była jedynie struktura i delikatne przebarwienie kleju ortodontycznego. Po wybarwieniu płytki nazębnej, dookoła implantu uwidoczniono bardzo gęstą warstwę płytki nazębnej dojrzałej (czyli obecnej na powierzchni minimum 2 dni), w tym kariogennej czyli kwasowej, mogącej powodować próchnicę zębów sąsiadujących.
Bez wybarwiania, które jest częścią GBT, higienistka nie wykonałaby dokładnego usunięcia warstwy bakteryjnej, nie dostrzegając jej. Brak narzędzi obecnych w GBT (piasek EMS Plus, piaskowanie poddziąsłowe) uniemożliwiałby też oczysczenie okolic szczeliny dziąsłowej, a także przy zamkach ortodontycznych i implantach. Pozostawiony biofilm to źródło procesu zapalnego, bólu i krwawienia dziąseł, próchnicy oraz dezintegracji implantów.

Protokół Guided Biofilm Therapy (GBT) to nowoczesna i skuteczna metoda higienizacji jamy ustnej, która przewyższa tradycyjny skaling i piaskowanie pod wieloma względami. Jest precyzyjniejsza, mniej inwazyjna i bardziej komfortowa dla Pacjentów. Dodatkowo, GBT jest idealnym rozwiązaniem dla osób posiadających implanty i ceramiczne prace protetyczne, zapewniając im długotrwałą ochronę i estetykę.
Dbając o zdrowie Twojej jamy ustnej, oferujemy gwarancję na implanty i prace protetyczne tylko pod warunkiem regularnej higienizacji wykonywanej w naszej Klinice przez wykwalifikowane higienistki i zgodnie z protokołem GBT. Dzięki temu możemy zapewnić najwyższą jakość usług i długotrwałe rezultaty, na które zasługujesz!